logo white plain symbol logo blue plain symbol
Contact Us 01509 380 206 Book an appointment New patients

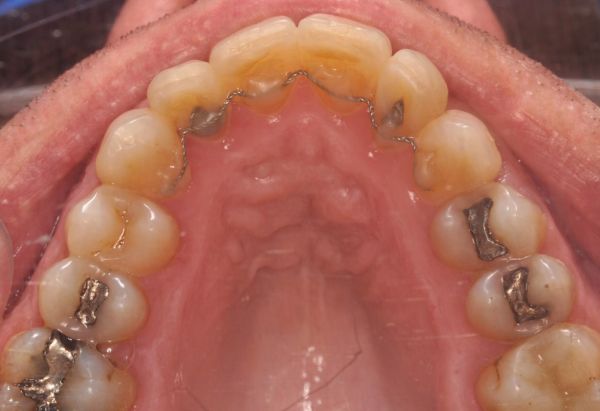
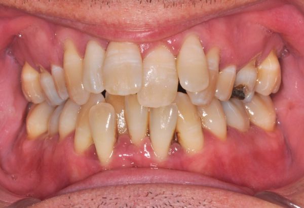
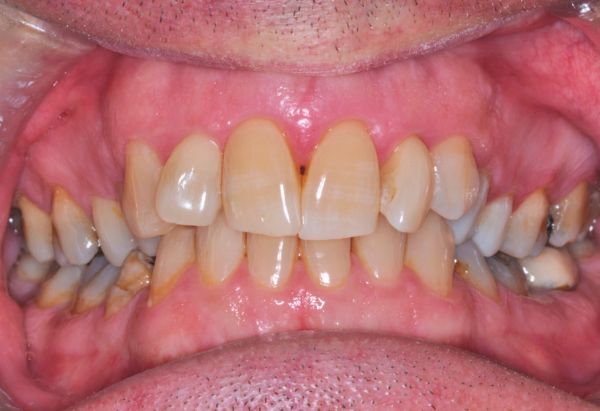
Case 1: Dental Braces

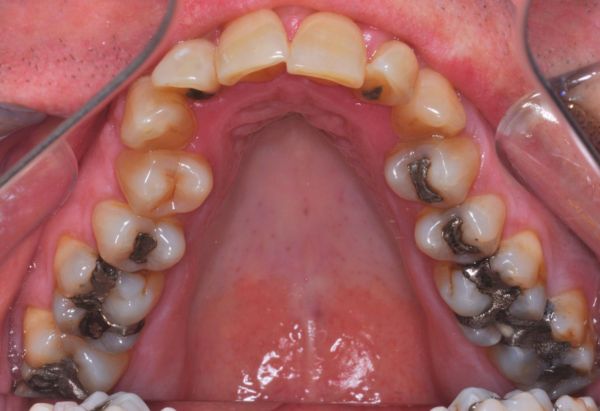
Case 2: Dental Braces

Case 3: Dental Braces

Case 1: Six Month Smiles

Contact

Get in touch

conten shape
logo white plain symbol

Book your appointment today

Book your appointment today and take the first step toward your perfect smile.

Book an appointment

Social Media

Stay connected with us

Stay connected with Peacock Dental Spa for smile inspiration, tips, and the latest news.

Read more
Google Rating
4.9
Google Rating
Google-review