logo white plain symbol logo blue plain symbol
Contact Us 01509 380 206 Book an appointment New patients

If you have lost multiple teeth, you may be wearing a denture or a partial denture.

This can be a real burden, causing embarrassment, discomfort and generally having a real negative impact on your quality of life. Did you know you don’t have to eat soft foods or wear dentures for the rest of your life?

Contact

Get in touch

conten shape

Implants are a viable and clinically proven alternative to missing teeth

Multiple teeth can be replaced with just a single implant. The implant screw can support a bridge of up to four teeth in a row, each stable and sturdy and guaranteed for life with good hygiene and maintenance.

Depending on the volume of jawbone, a dental implant and abutments can be placed on the same day or over a period of months. The implants will look and feel exactly like your natural teeth.

After a period of healing, your implants will be fully integrated and will look, feel and function just like natural teeth!

Peacock Dental Spa

Life Benefits

  • If missing teeth are not replaced with implants, the jawbone will recede, giving your face a sunken appearance. Implants give you a youthful boost.
  • You can bite or chew a variety of foods.
  • You can live free of worry and concern about your teeth.

Testimonials

“Great experience. Was given time to explain medical history and had a thorough check in a beautiful relaxing…”

“Great experience. Was given time to explain medical history and had a thorough check in a beautiful relaxing…”

“Great experience. Was given time to explain…”

Peacock Dental Spa

Joanne M.

star yellow plain icon

Testimonials

“I have been a patient of Mike's for a few years now & was adamant that when he & Katy opened the Peacock…”

“I have been a patient of Mike's for a few years now & was adamant that when he & Katy opened…”

“I have been a patient of Mike's for a few years now &…”

Peacock Dental Spa

Pauline F.

star yellow plain icon

Testimonials

“Beautiful place and wonderful staff! Made a very nervous visitor feel at ease throughout. 100% recommend.”

“Beautiful place and wonderful staff! Made a very nervous visitor feel at ease throughout. 100% recommend.”

“Beautiful place and wonderful staff! Made a…”

Peacock Dental Spa

Kit M.

star yellow plain icon

Testimonials

“Fantastic service. Pain-free experience.”

“Fantastic service. Pain-free experience.”

“Fantastic service. Pain-free experience.”

Peacock Dental Spa

Joe H.

star yellow plain icon

Testimonials

“I've recently moved to this practice and it's the best decision I've made in years. The best dental care I've ever experienced, in…”

“I've recently moved to this practice and it's the best decision I've made in years. The best dental care I've ever…”

“I've recently moved to this practice and…”

Peacock Dental Spa

Christopher C.

star yellow plain icon

Testimonials

“Facebook recommendations: Lovely professional service, whilst also being very friendly. Highly recommend.”

“Facebook recommendations: Lovely professional service, whilst also being very friendly. Highly recommend.”

“Facebook recommendations: Lovely professional service, whilst also…”

Peacock Dental Spa

Skye S.

star yellow plain icon

Testimonials

“Our first family trip to Peacock Dental Spa today and as a slightly nervous patient, I can thoroughly recommend them! Nothing like a…”

“Our first family trip to Peacock Dental Spa today and as a slightly nervous patient, I can thoroughly recommend them! Nothing…”

“Our first family trip to Peacock Dental Spa today and as a slightly…”

Peacock Dental Spa

Lucy S.

star yellow plain icon
Our testimonials

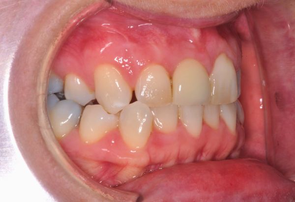
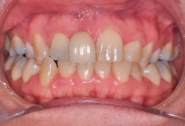
Smile Gallery

Real results, real smiles

Explore our smile gallery to see real results from patients who have transformed their smiles with Peacock Dental Spa.

Read more

Before

After

Before

After

Before

After

Before

After

Before

After

Before

After

Contact

Get in touch

logo white plain symbol

Book your appointment today

Book your appointment today and take the first step toward your perfect smile.

Book an appointment

Social Media

Stay connected with us

Stay connected with Peacock Dental Spa for smile inspiration, tips, and the latest news.

Read more
Google Rating
4.9
Google Rating
Google-review