logo white plain symbol logo blue plain symbol
Contact Us 01509 380 206 Book an appointment New patients

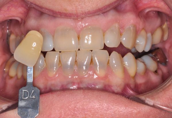
A bright smile can do a lot — boost your confidence, freshen up your whole face, and even make you feel a little more ‘put-together’ on a Tuesday morning.

At Peacock Dental Spa, we offer two brilliant whitening options to help you get there:

  • Boutique Whitening: For those who like to do things from the comfort of their own sofa.
  • Philips Zoom! Whitening: For those who want their sparkle now.

Contact

Get in touch

conten shape

Boutique Whitening: Whiten at your own pace

Boutique whitening is a DIY, safe, dentist-supervised teeth whitening solution that yields some of the biggest gains for your teeth. It’s done at home, on your schedule, and with custom-made trays that fit your teeth perfectly (no weird one-size-fits-all nonsense here).

You’ll apply the whitening gel daily for a couple of weeks, and before you know it, you’ll be catching yourself smiling in every mirror you pass.

Peacock Dental Spa

Philips Zoom! Whitening – Whiter teeth, fast

Zoom! is our in-chair whitening option for those who want fast, dramatic results. Think job interview tomorrow, wedding next week, or just zero patience for waiting. The procedure takes just over an hour, and you can leave with teeth up to 6–8 shades lighter.

It’s safe, effective, and includes built-in protection for your enamel and gums. Basically, it’s a power clean with polish and sparkle.

Peacock Dental Spa

What's the difference between Boutique Whitening and Phillips Zoom! Whitening?

Feature Boutique Whitening Philips Zoom! Whitening
Where it’s done At home In-chair at the practice
Speed of results Gradual – noticeable in a few days, full results in 2-3 weeks Immediate – up to 8 shades lighter in around 1 hour
Best for People who like to whiten at their own pace People want fast results
Custom fit trays Yes – trays are made just for your teeth No – whitening is applied directly during appointment
Level of whitening control High – you decide how white you want to go Moderate – fast, professional-level whitening
Sensitivity Mild – can be managed with sensitive toothpaste Can cause short-term sensitivity
Maintenance Easy to top up at home when needed Comes with take-home top-up kit
Time commitment 1–2 hours a day over 10–14 days One 90-minute appointment
Price More affordable Higher investment for instant results
Results longevity Long-lasting with regular top-ups Long-lasting with proper aftercare

Our promises to you

  • Pain-free guarantee: Whitening should feel good (not make your eyes water).
  • On-time guarantee: Your time is valuable, and we don’t waste it.
  • Call back guarantee: Got a question? You’ll never be left waiting for a reply.

Testimonials

“Great experience. Was given time to explain medical history and had a thorough check in a beautiful relaxing…”

“Great experience. Was given time to explain medical history and had a thorough check in a beautiful relaxing…”

“Great experience. Was given time to explain…”

Peacock Dental Spa

Joanne M.

star yellow plain icon

Testimonials

“I have been a patient of Mike's for a few years now & was adamant that when he & Katy opened the Peacock…”

“I have been a patient of Mike's for a few years now & was adamant that when he & Katy opened…”

“I have been a patient of Mike's for a few years now &…”

Peacock Dental Spa

Pauline F.

star yellow plain icon

Testimonials

“Beautiful place and wonderful staff! Made a very nervous visitor feel at ease throughout. 100% recommend.”

“Beautiful place and wonderful staff! Made a very nervous visitor feel at ease throughout. 100% recommend.”

“Beautiful place and wonderful staff! Made a…”

Peacock Dental Spa

Kit M.

star yellow plain icon

Testimonials

“Fantastic service. Pain-free experience.”

“Fantastic service. Pain-free experience.”

“Fantastic service. Pain-free experience.”

Peacock Dental Spa

Joe H.

star yellow plain icon

Testimonials

“I've recently moved to this practice and it's the best decision I've made in years. The best dental care I've ever experienced, in…”

“I've recently moved to this practice and it's the best decision I've made in years. The best dental care I've ever…”

“I've recently moved to this practice and…”

Peacock Dental Spa

Christopher C.

star yellow plain icon

Testimonials

“Facebook recommendations: Lovely professional service, whilst also being very friendly. Highly recommend.”

“Facebook recommendations: Lovely professional service, whilst also being very friendly. Highly recommend.”

“Facebook recommendations: Lovely professional service, whilst also…”

Peacock Dental Spa

Skye S.

star yellow plain icon

Testimonials

“Our first family trip to Peacock Dental Spa today and as a slightly nervous patient, I can thoroughly recommend them! Nothing like a…”

“Our first family trip to Peacock Dental Spa today and as a slightly nervous patient, I can thoroughly recommend them! Nothing…”

“Our first family trip to Peacock Dental Spa today and as a slightly…”

Peacock Dental Spa

Lucy S.

star yellow plain icon
Our testimonials

Smile Gallery

Real results, real smiles

Explore our smile gallery to see real results from patients who have transformed their smiles with Peacock Dental Spa.

Read more

Before

After

Before

After

Before

After

Before

After

Before

After

Before

After

Before

After

Before

After

Before

After

Before

After

FAQS

Frequently asked questions

FAQs – Boutique Whitening

Does it hurt?

You might feel a bit of sensitivity during or after treatment, but it usually goes away quickly. We’ll advise you on how to reduce it if needed — including switching to a sensitive toothpaste before and during whitening.

How long does it take?

Most people use the trays for 1–2 hours a day over two to three weeks, but you’ll start seeing changes after just a few days.

Will my teeth look fake?

Not unless you want them to! Boutique Whitening gives you control over how white you go. Most patients aim for a natural, fresh brightness — not blinding brilliance.

FAQs – Philips Zoom! Whitening

Is Zoom! safe?

Completely. The treatment is done by dental professionals using regulated products, and we take every precaution to protect your gums and enamel during the process.

How long does it take?

Around an hour in the chair – perfect for your lunch break or a pamper session. We’ll also send you home with a top-up kit to maintain your results.

How white will my teeth get?

Results vary from person to person, but many people see a lift of up to 8 shades. We’ll discuss your goals before we start, and tailor your treatment accordingly.

Contact

Get in touch

logo white plain symbol

Book your appointment today

Book your appointment today and take the first step toward your perfect smile.

Book an appointment

Social Media

Stay connected with us

Stay connected with Peacock Dental Spa for smile inspiration, tips, and the latest news.

Read more
Google Rating
4.9
Google Rating
Google-review